A modified technique for pancreatic islet transplantation into the submandibular gland: an experimental study
Ibrahim Fathi1,2, Akiko Inagaki2, Takehiro Imura2, Tarek Koraitim1, Masafumi Goto2,3.
1Department of Surgery, Alexandria University, Alexandria, Egypt; 2Division of Transplantation and Regenerative Medicine, Tohoku University Graduate School of Medicine, Sendai, Japan; 3Department of Surgery, Tohoku University Graduate School of Medicine, Sendai, Japan
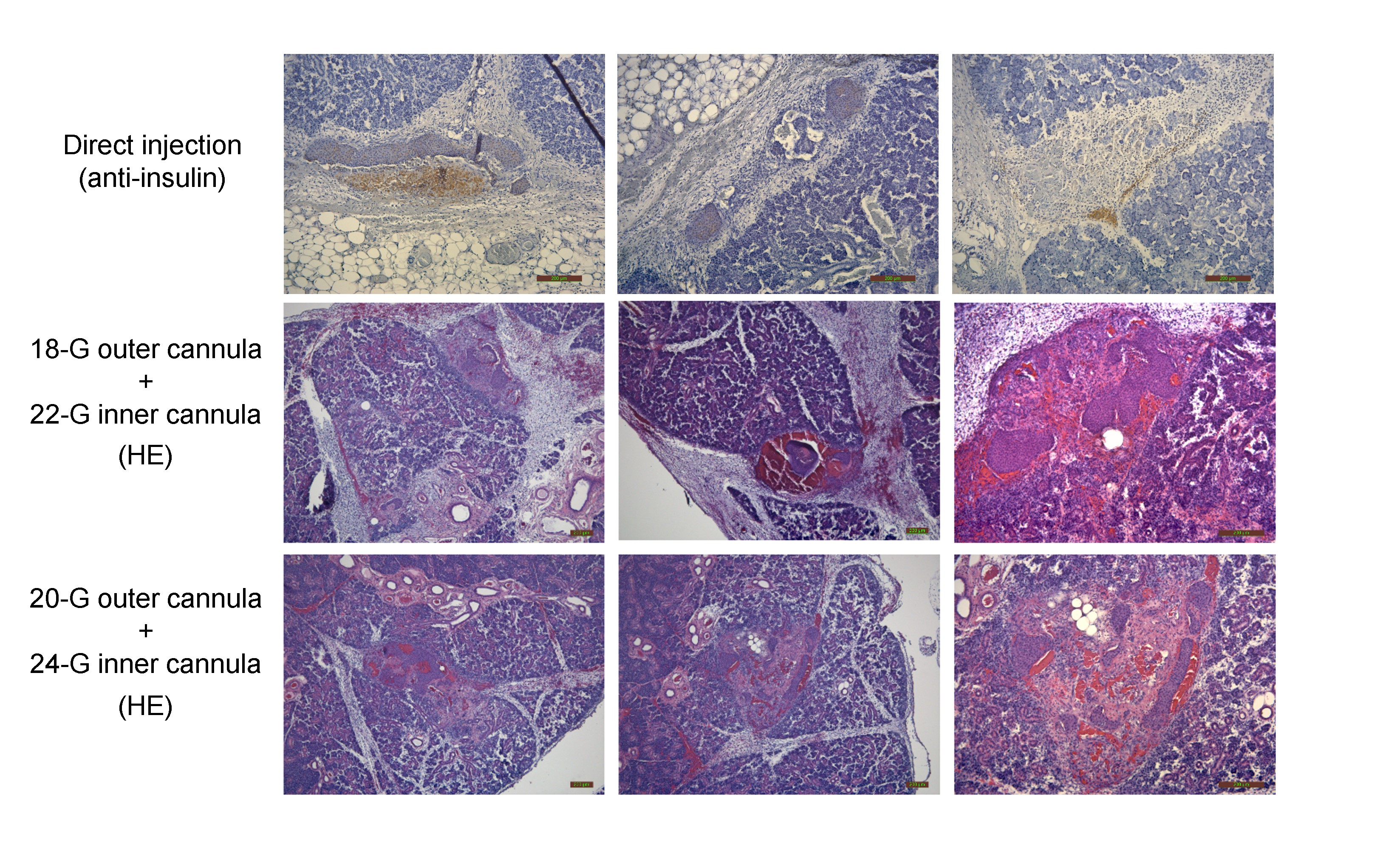
Pancreatic islet transplantation is a promising therapy for type 1 diabetes. Islet transplantation is clinically performed through intraportal infusion, which is associated with several drawbacks, including poor engraftment. The histological resemblance between the submandibular gland and the pancreas renders it an attractive alternative site for islet transplantation. In this study, we refined the technique of islet transplantation into the submandibular gland to achieve good morphological features (Figure 1). Then, we transplanted 2,600 islet equivalents into the submandibular glands of diabetic Lewis rats. Intraportal islet transplantation was performed in diabetic rats as a control. Blood glucose levels were followed for 31 days and an intravenous glucose tolerance test was performed. Immunohistochemistry was used to demonstrate the morphology of transplanted islets. Follow-up after transplantation showed that diabetes was cured in 2/12 rats in the submandibular group in comparison to 4/6 in the control group. The intravenous glucose tolerance test results of the submandibular and intraportal groups were comparable. IHC showed large islet masses in the submandibular gland in all examined specimens with positive insulin staining (Figure 2). Our results show that submandibular gland tissue can support the islet function and engraftment but with considerable variability. Good morphological features were achieved using our refined technique.


Japanese Grant-in-Aid for Scientific Research (B) (Grant Number 22H03133) from the Japan Society for the Promotion of Science.