Gastrointestinal bleeding from enteric anastomosis in simultaneous pancreas / kidney transplantation: A novel hybrid approach
Javier Chapochnick1,2, Carlos Derosas1,2, Rodrigo Iñiguez1,2, Juan Gonzalez1, Isaac Nachari1,3, Claudio Navarrete1,3, Jacqueline Pefau Pefaur2,4, Giovanni Enciso2,4.
1Department of Surgery, Clinica Santa Maria, Santiago, Chile; 2Center for Organ Transplantation and Chronic diseases, Clinica Santa Maria, Santiago, Chile; 3Department of Endoscopic Surgery, Clinica Santa Maria, Santiago, Chile; 4Department of Nephrology, Clinica Santa Maria, Santiago, Chile
Introduction : Enteric drainage is the most commonly used technique for exocrine drainage in simultaneous pancreas/kidney transplantation (SPK). One of the complications associated with this technique is gastrointestinal bleeding often originated from duodenal anastomosis itself or a perianastomotic site ulcer.
Materials and methods : Retrospective review of our series of pancreas transplants performed between 2014 and 2023.
Surgical technique: The standard technique that we utilize for all our pancreatic transplants is an end-to-side Y-graft (splenic and SMA) to the recipient common iliac artery and venous portal outflow to the inferior vena cava. The head of the pancreas and duodenum are oriented upward, and the donor duodenal segment anastomosed side-to-side to the jejunum.
Results: Among the 52 pancreas transplants that we have performed since 2014 two patients developed gastrointestinal bleeding that required surgical intervention. Both patients recovered well.
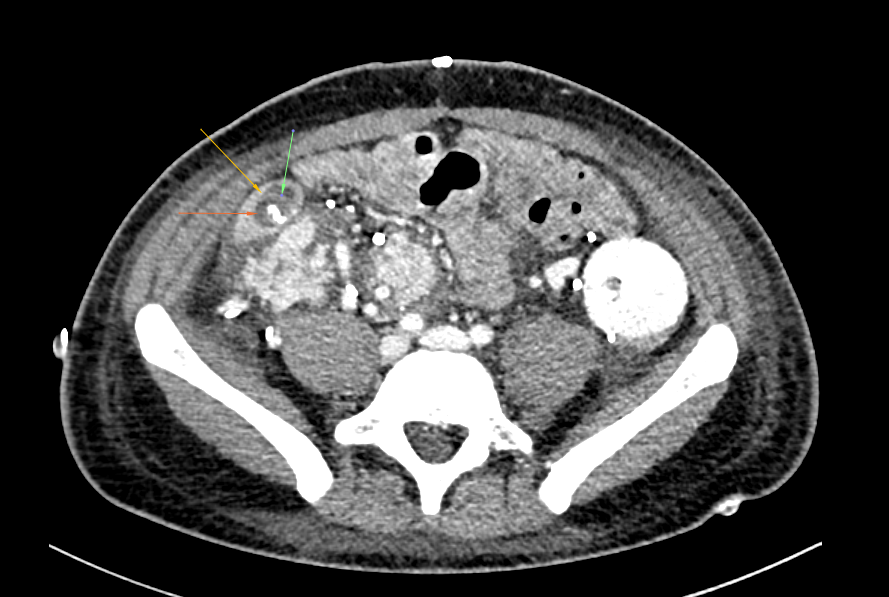
Case N°1 - 33-year-old man with 30-year history of T1DM who developed ESRD and has been dependent on hemodialysis since 2007. The patient underwent a deceased-donor SPK in July 2017. On the 4th postoperative day, he developed hematochezia. Computer tomography angiography revealed active bleeding from enteric anastomosis.
Case N°2 - 31-year-old man with 28-year history of T1DM who developed ESRD and has been dependent on hemodialysis since 2019. The patient underwent a deceased-donor SPK in December 2022. On the 5th postoperative day, he developed hematochezia. Blood count decreased 5% within 24 hrs. Computer tomography angiography revealed active bleeding from enteric anastomosis.

In both cases, a hybrid approach was performed. This approach involved a laparotomy and an intraoperative endoscopy through a small enterotomy in the jejunum distal to the duodenal anastomosis. Active bleeding from the enteric anastomosis was found in both cases, which was resolved by an endoscopic approach without the need for dismantling the duodenal anastomosis.

Conclusions: This hybrid approach for the management of bleeding from the enteric anastomosis site allows for control of the bleeding without the need for dismantling the anastomosis. With the assistance of an experienced endoscopist it is a fast, safe and reliable approach.
[1] de Melo SW Jr, Gupta S, Arenas J, Sreenarasimhaiah J. Single-balloon enteroscopy-guided hemostasis of an anastomotic ulcer in a patient with simultaneous enteric-drained pancreas-kidney transplant. Endoscopy. 2008 Sep;40 Suppl 2:E164.
[2] Nikeghbalian S, Bahador A, Salahi H, Kakaei F, Kazemi K, Dehghani M, Ghaffaripour S, Malek-Hosseini SA. Non-marginal donor C-loop ulcers as a cause of gastrointestinal bleeding after pancreas transplantation: three case reports. Transplant Proc. 2009 Sep;41(7):2930-2.
[3] Orsenigo E, Fiorina P, Dell'Antonio G, Cristallo M, Socci C, Invernizzi L, Maffi P, Secchi A, Di Carlo V. Gastrointestinal bleeding from enterically drained transplanted pancreas. Transpl Int. 2005 Mar;18(3):296-302.
[4] Wang H, Fu YX, Song WL, Mo CB, Feng G, Zhao J, Pei GH, Shi XF, Wang Z, Cao Y, Nian YQ, Shen ZY. Suture ligation for submucosal hemostasis during hand-sewn side-to-side duodeno-ileostomy in simultaneous pancreas and kidney transplantation. World J Gastrointest Surg. 2021 Sep 27;13(9):988-999.