Dr. Daniel Wolbrom is a postdoctoral research fellow in the xenotransplantation laboratory at Columbia University's Center for Translational Immunology, where he is investigating mechanisms of transplant tolerance in nonhuman primate models under the mentorship of Drs. Megan Sykes and Adam Griesemer. Dr. Wolbrom is also a general surgery resident, and he will return to residency to complete the final years of his training after his postdoc fellowship, before proceeding to advanced clinical training in transplant surgery.
Long term survival (>365 days) of swine to baboon thymokidney transplant from alpha1,3-galactosyltransferase gene-knockout donors
Daniel H Wolbrom1, Karina Bruestle1, Daniel Eisenson1, Benjamin Piegari1, Susan Qudus1, Anas Zahid1, Ibrahim Batal2, Joshua Weiner1, Adam D Griesemer1, Kazuhiko Yamada1, David H Sachs1, Megan Sykes1, Greg Nowak1.
1Columbia Center for Translational Immunology, Columbia University, New York, NY, United States; 2Department of Pathology and Cell Biology, Columbia University, New York, NY, United States
Introduction: Achieving long-term xenograft survival is a major goal. We hypothesize that long-term survival will be achieved through induction of immune tolerance via co-transplantation of the donor thymus. While the use of pig donors with multiple transgenes has been described in both nonhuman primate (NHP) and brain-dead human models, we hypothesize that long-term survival can be achieved with minimal genetic modifications with the thymokidney approach to induce immune tolerance.
Methods: Six baboons with low non-Gal anti-pig natural antibody levels received thymokidney transplants from alpha1,3-galactosyltransferase gene-knockout donors (GalTKO) pigs. Briefly, we implanted a piece of the donor’s thymus under its own renal capsule, allowed it to mature for 6 weeks in situ, and then harvested and transplanted the thymokidney into the baboon recipient. Induction and maintenance immunosuppression is illustrated in Figure 1A. 
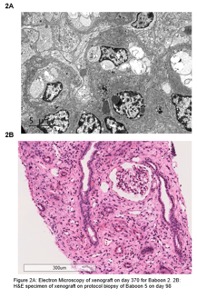
Results: Survival exceeded one year (370 days) in Baboon 2, which was euthanized for reaching endpoint, with no clinical or histological signs of rejection. Two baboons are still under observation and are currently six months (Baboon 4) and five months (Baboon 5) post- transplant, showing no clinical or histological signs of rejection. Three baboons were euthanized shortly after the transplant due to non-immunological complications. Electron microscopy was performed on Baboon 2’s xenograft at the time of euthanasia (H&E and PAS pending), and showed endothelial injury manifested as swollen endothelium with loss of fenestration, and extensive but incomplete foot process effacement (Figure 2A). Baboon 4’s latest biopsy (Day 145) showed mild to moderate tubulointerstitial scarring, along with mild transplant glomerulopathy and minimal C4d staining in peritubular capillaries. Baboon 5’s latest biopsy (Day 98) showed mild to moderate tubulointerstitial scarring with focal acute tubular injury (Figure 2B) and minimal C4d staining in peritubular capillaries. Serum creatinine values for Baboons 2, 4, and 5 stabilized at 2-3 mg/dL, despite occasional spikes in serum creatinine, which were related to urine outflow problems and urinary tract infections, corrected by ureter stent exchanges and/or removal and treatment with antibiotics (Figure 1B).

Discussion: Our data indicate that long-term survival greater than one year in NHPs can be achieved utilizing GalTKO pig donors via co-transplantation of the thymus and kidney. This model demonstrates that extensive genetic modifications of donor swine are not necessary for long term survival in recipients with low non-Gal natural antibody levels if additional strategies are incorporated, such as co-transplanting the thymus tissue.